球盟会
-
8月29日上午,山东大学齐鲁医学院党工委侯俊平书记、学生处张青处长、继续教育中心李泉副主任,山东大学深圳研究院王明星副院长、教育培训部刘丽部长和办公室王飞虎主任到球盟会 参观调研。球盟会QMH(中国)官方网站 柴金龙书记、区莹副...2018-08-30
-
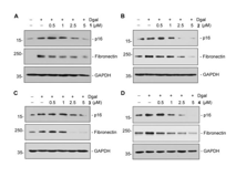
衰老可累及多个脏器,包括肾脏,其中“人老肾先衰”就指出肾脏与衰老伴随的紧密关系。目前我国慢性肾脏病(chronic kidney disease;CKD)患者已超过1亿人,CKD在衰老群体的发病率高出年轻群体3倍以上,CKD的肾组...2018-08-30
-
2018年7月19日下午,香港大学牙学院院长Thomas Flemming教授率牙学院副院长张顺彬教授、金立坚教授、张成飞教授等一行五人来访球盟会QMH(中国)官方网站 。深圳大学学科建设与发展办公室主任明海燕教授、球盟会QMH(中国)官方网站 副主任许兴智...2018-07-23
-
近日,球盟会QMH(中国)官方网站 朱卫国教授课题组在国际知名期刊Nucleic Acids Research(影响因子11.561)上以研究长文形式在线发表了题为“Histone H1 acetylation at lysine 85 regulates chromatin condensation and geno...2018-07-14
-
2018年7月1日,第一届基础医学学术年会在深圳大鹏成功召开。本届学术年会由球盟会QMH(中国)官方网站 基础医学院主办,旨在加快我校高水平大学建设及我院基础医学学科建设,提升我院学术水平,营造良好的学术氛围,增加同事...2018-07-13
-
2018年7月10日下午,深圳大学附属骨科医院挂牌仪式在龙岗区骨科医院举行。深圳市卫生和计划生育委员会副主任孙美华、龙岗区卫计局局长朱武、球盟会QMH(中国)官方网站 主任朱卫国、党委书记柴金龙、龙岗区骨科医院院长张子清...2018-07-11
-
胰岛移植是治疗糖尿病的有效手段,但受限于胰岛供体来源不足和免疫排斥反应,使其在临床无法广泛应用。胚胎胰腺干细胞由于免疫原性弱使其成为潜在的胰岛来源。球盟会QMH(中国)官方网站 糖尿病研究所马晓松、华先欣教授团队利用胚胎...2018-07-03
-
6月27日上午,深圳大学总医院开业典礼暨院士高峰论坛在西丽校区A5一楼报告厅隆重举行。市直属机构领导、兄弟医院、行业协会、医院管理协会、总医院专家及深圳大学领导、球盟会QMH(中国)官方网站 领导、球盟会QMH(中国)官方网站 师生等300余人参加了院...2018-07-01
-
6月26日,球盟会QMH(中国)官方网站 人才培养办公室刘子琛老师和曹慧敏老师奔赴广州市执信中学、广州市第十六中学开展高考招生宣传工作。执信中学是广东省重点中学,广东省一级学校,广东省首批国家级示范性高中。广州市第十六中学是...2018-06-29
-
2018年6月25日下午,台湾慈济大学校长王本荣率代表团一行9人来访球盟会QMH(中国)官方网站 并做了题为“医学与人文的对话”的演讲。球盟会QMH(中国)官方网站 主任朱卫国、党委书记柴金龙、国际交流部副主任侯强等相关领导和球盟会QMH(中国)官方网站 广大师生出席...2018-06-29


用户登录
还没有账号?
立即注册