Genome Instability & Disease Volume 5. Issue 3 & 4 简介
Dear colleagues,
We are pleased to announce the publication of GIAD Volume 5 Issue 3 & 4. Below, we provide brief summaries of the published articles.
Volume 5 Issue 3
1. Genomic instability evaluation in different cell line by random amplified polymorphic DNA-PCR analysis | Arzu Erol
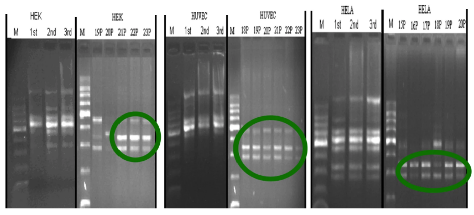
Random amplified polymorphic DNA (RAPD) is a molecular analytic technique based on PCR, in which DNA sequences are amplified at random. Although this technique is useful for generating polymorphic markers with low amounts of starting material and no prior knowledge of the target DNA sequence, there are limitations to its application. In this article, Dr. Arzu Erol from Bulent Ecevit University in Türkiye used RAPD to detect the PCR amplification products of HEK, HUVEC and HELA cell lines at different generations. He found that due to DNA damage, the amplicons changed as the number of generations increased. These data provide a point of reference to help improve RAPD technology.

Fig.1 Comparison of the RAPD profiles for cells at the first and last passage; the circles indicate the homogenous pattern in the last passages regardless of cell type.
RAPD是建立在PCR基础之上的一种可对整个序列的基因组进行分析的分子技术,但在应用上存在局限性。来自土耳其Bulent Ecevit大学的Arzu Erol博士利用随机扩增多态性DNA-PCR检测了HEK细胞、HUVEC细胞和HELA细胞系在不同世代的PCR扩增产物,发现由于DNA损伤,DNA PCR扩增产物随着世代数的增加而变化,为改善RAPD技术提供参考。

Dr. Arzu Erol
全文链接://link.springer.com/article/10.1007/s42764-024-00122-y
2. An analysis of gasdermin family of genes in UCEC with respect to malignancy status, mutation percentages and histologic diagnosis| Caglar Berkel
Pyroptosis is a programmed lytic cell death mechanism based on pore formation in cellular membranes. The process involves the activation of inflammasomes and inflammatory caspases, and the proteolytic cleavage of gasdermin (GSDM’s and PJVK) proteins. In this study, Dr. Caglar Berkel from Tokat Gaziosmanpasa University in Türkiye, found that in uterine corpus endometrial carcinoma (UCEC), GSDM type C (GSMDC) gene expression is increased, while GSDME and PJVK gene expression is decreased compared to normal cells. Dr. Berkel also found that UCEC exhibit the highest gasdermin gene mutation rate compared to other cancers, with GSDME mutations specifically being the most prevalent and significant in terms of mRNA expression differences. In UCEC, all gasdermins except for GSDMA, were expressed at higher levels in serous than endometrioid endometrial adenocarcinoma, and their expression varied with tumor grade and status but not with menopause status. Dr. Berkel concludes that improving our understanding of pyroptosis and gasdermin expression in UCEC could help to identify new therapeutic targets.
Fig.2 GSDMC, GSDME and PJVK expression in UCEC compared to normal endometrial cells.
Gasdermin蛋白(GSDMA-E和PJVK)水解与Pyroptosis密切相关。土耳其Tokat Gaziosmanpasa大学的Caglar Berkel博士对比了子宫体子宫内膜癌(UCEC)与正常非恶性子宫内膜细胞中gasdermin蛋白的表达,以及在不同癌症类型中的表达,发现gasdermin家族的成员可能在UCEC的肿瘤起始和进展中具有不同的功能,并且在UCEC中表现出组织型依赖性表达,可能影响UCEC患者的预后,为UCEC靶向治疗提供了参考。

Dr. Caglar Berkel
全文链接://link.springer.com/article/10.1007/s42764-024-00128-6
3. Diffuse subtype-specific gastric carcinogenesis associated with dysregulation of Notch signaling pathways | Karthik Balakrishnan
A new study by Dr. Karthik Balakrishnan from the Saroj Institute of Technology and Management (SITM) in India reports the effects of dysregulated Notch signaling on gastric cancer. By analyzing the MSigDB database and available mRNA expression profiles, Dr. Balakrishnan found that Notch signaling is highly dysregulated in diffuse subtype specific gastric cancer compared to intestinal subtype tumors. Gene enrichment analysis (GSEA) also identified a significant increase in the Notch gene set in gastric cancer tissues compared to normal tissues. Interestingly, the ROC curves of Notch receptor isoforms NOTCH1-4 could prognosticate diffuse subtype-specific gastric tumors with good specificity and sensitivity. Finally, a genomics drug sensitivity in cancer (GDSC) analysis for gastric cancer revealed a negative correlation between drug IC50 values and Notch gene expression, suggesting a possible correlation between Notch gene expression and gastric cancer drug resistance. The results of this study open avenues of research into treatments and prognostics of gastric cancer based on the Notch signaling pathway.
Fig. 3 Notch gene set in Ontological function
胃癌导致的死亡率在所有肿瘤中高居全球第三。来自印度Saroj 技术与管理学院(SITM)的Karthik Balakrishnan博士通过MSigDB数据库分析,发现Notch信号通路信号在弥漫性亚型特异性胃癌而非肠道亚型肿瘤中高度失调,进一步的基因富集分析(GSEA)显示,与正常组织相比,胃癌组织中的Notch基因集显著升高。最后,胃癌药物敏感性(GDSC)发现药物的IC50与Notch基因的表达呈负相关,提示Notch基因可能与胃癌耐药性存在相关关系。该发现为胃癌治疗及预后提供了参考。
全文链接://link.springer.com/article/10.1007/s42764-024-00130-y
4. Dual roles of UFMylation on stalling fork stability | Yisui Xia, Wenpeng Liu & Huiqiang Lou
Two recent articles have reported that a ubiquitin like modification known as UFMylation helps to promote the recruitment of the nuclease MRE11 to replication forks, thus revealing a new role for UFMylation in genomic stability. Here, Professor Huiqiang Lou from Shenzhen University in China, comments on these latest findings, and explains how these two studies have independently elucidated a dual role for UFMylation in regulating MRE11 recruitment by targeting PARP1, and altering the epigenetic environment (a key process in coping with replication stress). In his commentary, Professor Lou notes some unresolved issues arising from these works, such as the undetermined localization of UFMylated PARP1, whether there is crosstalk between MRE11 UFMylation and PARP/PTIP UFMylation, and how PTIP UFMylation promotes the assembly of MLL3/4-PTIP complexes and their subsequent effects on methyltransferase activity. These questions now require further exploration to improve our understanding of UFMylation in genome stability.
Fig. 4 Dual roles of UFMylation on stalling fork stability
DNA复制叉在维持基因组稳态发挥关键性的作用。近期两篇文章报道了泛素样修饰UFMylation采用双途径促进核酸酶MRE11的募集,揭示了UFMylation在基因组稳定性中的新作用。对此,深圳大学的楼慧强教授进行点评,指出这两项研究都阐明了UFMylation通过靶向PARP1和改变表观遗传环境(一个应对复制应激的关键过程)在调节MRE11募集中的双重作用,同时也提出一些尚待解决的问题,比如UFMyelated PARP1的定位尚待确定,MRE11 UFMylations和PARP/PTIP UFMylation之间是否存在串扰,PTIP UFMylation如何促进MLL3/4–PTIP复合物的组装及其对甲基转移酶活性的后续影响, 这些需要进一步研究加以阐明。
Prof. Huiqiang Lou
全文链接://link.springer.com/article/10.1007/s42764-024-00129-5
Volume 5 Issue 4
1. The silent guardian: unraveling the roles of H3K9me3 in genome maintenance | Zhiming Li & Zhiguo Zhang
The inhibitor H3K9me3 heterochromatin modification has a crucial role in maintaining genomic stability. In this review, Professor Zhiguo Zhang and Dr. Zhiming Li from Columbia University summarize the multifaceted roles of H3K9me3 in DNA damage repair and maintaining genomic homeostasis. They explore the relationship between H3K9me3 dysregulation and cancer, and in doing so, provide a key reference on how maintaining genomic homeostasis is essential for cancer prevention.

Fig.1 The varius roles of H3K9me3 in maintaining genome stability.
异染色质修饰H3K9me3是一种抑制性的组蛋白修饰,在维持基因组稳定性发挥关键的作用。来自哥伦比亚大学的张志国教授和李治明博士向我们总结了H3K9me3在DNA损伤修复和维持基因组稳态的多方面作用,探讨H3K9me3失调与癌症的关系,对基因组稳态维持和癌症预防提供参考。

Prof. Zhiguo Zhang
全文链接://link.springer.com/article/10.1007/s42764-024-00131-x
2. MUS81 UFMylation at K400 promotes cell survival in response to camptothecin-induced replication stress| Qunsong Tan & Xingzhi Xu
Camptothecin (CPT) is a widely used chemotherapy drug. In this article, Professor Xu Xingzhi and Dr. Tan Qunsong from Shenzhen University explain how they discovered the mechanism by which CPT triggers the UFMylation of the structurally specific endonuclease MUS81 at lysine 400, thereby preventing its ubiquitination and subsequent degradation. The results of their study reveal a novel role for UFMylation in CPT-induced DNA damage. Based on these findings, the authors posit that a combination therapy based on UFMylation inhibitors and CPT might be an effective anti-cancer treatment.

Fig.2 Working model depicting the function of MUS81 UFMylation in response to CPT-induced replication stress. TOP1 removes DNA negative supercoiling during the replication process. CPT traps TOP1 in the chromatin and stimulates the ubiquitin-mediated degradation of TOP1 to repair CPT-induced DNA damage.
喜树碱(CPT)是一种广泛使用的化疗药物,来自深圳大学的许兴智教授和檀群松博士发现CPT能够触发结构特异性内切酶MUS81在赖氨酸400处的UFMylation,进而阻止其泛素化降解。该研究揭示了UFMylation在CPT诱导的DNA损伤中的新作用,提示UFMylation抑制剂可与CPT联合用药,为癌症治疗提供参考。

Prof. 许兴智
全文链接://link.springer.com/article/10.1007/s42764-024-00132-w
3. Identification of key molecular pathways and genes in BRCA1 and BRCA2-mutant ovarian cancer: evidence from bioinformatics analysis | Aeshah A. Awaji, Abdulkadir Yusif Maigoro, Abdullahi Tunde Aborode, Ashraf Akintayo Akintola, Dorcas Oladayo Fatoba, Einass Babikir Idris, Abeer Babiker Idris, Saman Jafri, Ekram Shoaib, Isreal Ayobami Onifade, Zainab Olapade, Modupe Oladayo, Ifeyinwa Anne Ihemegbulem, Oluwaseun Ipede, Abidemi Ruth Idowu, Funke V. Alabi, Ibude Jane Aruorivwooghene, Oghenetanure Ryan Enaworu, Abdullahi Jamiu, Adetolase A. Bakre, Hyung Wook Kwon, Ui Wook Hwang & Ridwan Olamilekan Adesola
Aberrant BRCA gene expression is closely related to breast and ovarian cancer development. In this article, Professor Ridwan Olamilekan Adesola and colleagues from Kyungpook National University explain how they interrogated an RNA-Seq dataset from 24 ovarian cancer patients that was included in the GEO database. Namely, the researchers conducted various bioinformatics analyses, including differentially expressed gene identification, gene ontology analyses, KEGG and PPI network analyses. From there, they investigated how BRCA1 and BRCA2 mutations affect gene expression patterns and signaling pathways in affected patients, and ultimately derived a potential molecular mechanism underlying OC occurrence and progression.

Fig. 3 The study methodology to interrogate ovarian cancer RNA-seq data from the GEO database.
BRCA基因与乳腺癌和卵巢癌(OC)密切相关。来自韩国大邱庆浦国立大学的Ridwan Olamilekan Adesola和他的同事们从GEO数据库中获得了24名癌症(OC)卵巢患者的RNA-Seq数据集,并进行了各种生物信息学分析,包括DEG鉴定、GO、KEGG和PPI网络, 研究调查了BRCA1和BRCA2突变如何影响卵巢癌症患者的基因表达模式和信号通路,为OC的发生和进展提供潜在的分子机制参考。
全文链接://link.springer.com/article/10.1007/s42764-024-00133-9
4. Immunotherapy shapes B-cell receptor repertoire to induce anti-tumor antibodies production in colon and lung cancer | Hang Su, Yimeng Wang, Sajid Khan, Yinan Huang, Zhenfei Yi, Na Zhu, Zhenghao Li, Feng Leng, Yanfen Chen, Lin Yang, Takaji Matsutani, Zhenghong Lin & Suping Zhang
The role of B cells in tumor immunotherapy is controversial. In this study, Prof. Suping Zhang and colleagues from Shenzhen University report that anti-PD-1 and TLR9 agonist combination therapy can significantly inhibit colon and lung tumors in syngeneic mice. They discovered a tumor-specific monoclonal antibody (mAb) called 19C5, which can specifically recognize a tumor-associated antigen G protein pathway suppressor 1 (GPS1) and is associated with a poor prognosis for human colon and lung cancers. This finding demonstrates the crucial role of B cells in producing reactive antibodies in tumor immunotherapy.

Fig. 4 The 19C5 mAb significantly inhibits tumor growth in immunocompetent but not immunocompromised mice.
B细胞在肿瘤免疫治疗中的作用目前尚存在争议。来自深圳大学张素平团队报道抗PD-1和TLR9激动剂的联合治疗,能显著抑制同基因小鼠结肠和肺肿瘤,她们发现了一种名为19C5的肿瘤特异性单克隆抗体(mAb),能特异性识别肿瘤相关抗原G蛋白通路抑制因子1(GPS1),与人类结肠癌和肺癌癌症的预后恶化相关。该发现证明了B细胞在肿瘤免疫治疗中产生反应性抗体的关键作用。
Prof. Suping Zhang

用户登录
还没有账号?
立即注册